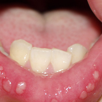
흔하게 걸리는 입병, 즉 구내염은 입술 안쪽이나 입 안쪽, 잇몸등에 발생하는데, 일단 발생하면 의외로 불편하고 고통스럽습니다.

1. 구내염(입병) 이란?
구내염은 세균이나 바이러스 등의 감염으로, 입 주변 및 입 안에 염증이 발생하는 현상입니다. 혀와 잇몸을 포함한 입안 점막등의 입안 쪽 염증 질환을 일컷습니다.



2. 구내염(입병) 원인
구내염 원인 1. 입속 상처로 인한 감염
음식을 먹다가 혀나 볼을 깨물어서 상처가 나거나, 양치질을 하다가 잇몸에 상처가 나게 되면 구내염으로 발전하기도 합니다.



구내염 원인 2. 재발성 아프타성 구내궤양
원인은 정확히 밝혀진 것은 없으나 구강점박에 궤양이 생기는 구내염으로 세균, 바이러스 감염에 의한 것으로 알려져 있으며, 뜨거운 음식과 뺨 안쪽과 혀의 상처 등이 원인이 될 수 있으며, 피로와 스트레스, 알레르기 등에 의해 발생하기도 합니다.



구내염 원인; 3. 칸디다성 구내염
칸디다균이라는 곰팡이균이 원인이 되며, 스트레스나 면역력저하, 체력저하 등으로 주로 발생하게 됩니다. 유아기의 어린이에게 잘 발생하는 편이며, 틀니를 착용하는 사람이나 당뇨병환자, 후천성면역결핍증 환자에게서도 발생합니다.



구내염 원인 4. 단순포진성 구내염(헤르페스성 구내염)
헤르페스 바이러스에 의해 발병하며, 처음 발병하면 감기와 비슷한 증상을 보이며, 입속에 작은 수포가 무리를 이뤄 입안 점막과 잇몸 입술, 입주위의 피부에 발생하고, 성인이 되기 전에 주로 나타납니다.
3. 구내염(입병) 치료법, 구내염(입병) 빨리 낫는 법
구내염은 보통 자연적으로 치유되지만, 병원에 방문하거나 약국에서 구내염 전용 연고 등을 구매해서 조금 더 빨리 낫게 할 수 있으며, 몇 가지 구내염 치료에 도움이 되는 것을 소개합니다.
①;구내염 전용 가글로 가글 하기
시중에서 팔고 있는 구내염 전용 가글을 사용하여 주기적으로 가글을 해주면 입안의 세균등을 박멸해 주어 구내염 치료에 도움이 됩니다.



② 비타민B, 비타민C 섭취하기
비타민B와 비타민C가 부족하게 되면 발생하는 질병이니 만큼, 비타민을 잘 섭취해 주면 구내염 치료에 도움이 됩니다.



③;물 자주 마셔 주기
입속이 건조하면 구내염이 잘 낫지 않을 수 있으니 물을 자주 마셔주어서 입안을 건조하지 않게 유지하면, 구내염 치료에 도움이 되는 침분비를 촉진시켜 구내염치료에 도움이 됩니다.
;



④;뜨거운 음식이나 맵고 짠 음식 피하기
뜨거운 음식이나 너무 맵고 짠 음식은 입속 점막에 자극을 주어 구내염 치료에 악영향을 끼칠 수 있으니 자제하는 것이 좋습니다.
;



⑤;충분한 수면 및 몸의 컨디션 조절
면역력이 떨어지면 구내염이 잘 발생하는데요, 잠을 충분히 자는 것으로도 면역력을 높일 수 있으며, 스트레스 해소와 균형 있는 식사 등으로 몸의 컨디션을 잘 조절하면 구내염 치료에 크게 도움이 됩니다.



4. 결론 및 요약
면역력이 구내염 발병에 영향을 끼치는 것은 사실이지만, 일단 입안을 청결하게 하는 것이 구내염 예방에 좋습니다.
식후에는 양치질을 하고, 흡연자라면 금연하는 것이 좋고, 충분한 수면과 몸의 컨디션 조절과 더불어 규칙적인 운동을 더해 준다면 구내염 치료와 예방에 효과적일 것입니다.
장례식장 복장, 장례식장 예절, 부의금(조의금) 금액, 장례식장 조문 주의사항
주위분들이 돌아가시게 되면 장례식장에 조문을 가게 됩니다. 장례식장에 방문해서 조문을 해본 적이 없는 분이라면 장례식장엔 어떤 옷을 입고 가야 하는지, 절은 어떻게 하는지, 무슨 말을 해
741.moowall.co.kr
코골이 원인, 코골이 줄이는 방법
코골이는 수면의 질을 저하시키고, 그 결과 낮에 졸음을 유발하고 일상생활에 영향을 미치게 됩니다. 코골이가 발생하는 대표적인 원인 몇 가지와 코골이를 줄이는 방법에 대해서 알아보겠습니
741.moowall.co.kr
임신 가능한 가임기 계산, 배란일, 생리주기, 가임기(가임기간) 임신확율
요즘 아이를 낳고도 출생신고를 하지 않는 일명 '출생미신고' 아동들에 대해 정부차원에서 전수조사를 지시해서, 영아를 암매장하거나 했던 부모들이 경찰에 구속되었다는 뉴스가 들려오곤 합
741.moowall.co.kr
두통 원인 : 두통 부위별 의심 질환 : 두통 종류
1. 두통 원인 1 차성 두통과 2 차성 두통 평상시에 느끼는 대부분의 두통은 다른 질병과 원인관계가 없는 '1 차성 두통'입니다. 일반적으로 스트레서나 생활 습관, 잘못된 자세 등이 원인이 되고,
741.moowall.co.kr
'건강관련' 카테고리의 다른 글
| 항문이 가려운 이유, 항문 가려움증 원인 및 예방 하기 : 항문 소양증 : 항문 종기 : 항문 가려움 (0) | 2023.07.15 |
|---|---|
| 사우나 냉수욕 안티 에이징 효능 및 효과, 사우나 냉수욕 주의사항 (0) | 2023.07.13 |
| 임신 가능한 가임기 계산, 배란일, 생리주기, 가임기(가임기간) 임신확율 (0) | 2023.07.06 |
| 코골이 원인, 코골이 줄이는 방법 (0) | 2023.07.04 |
| 두통 원인 : 두통 부위별 의심 질환 : 두통 종류 (0) | 2023.07.03 |
댓글